In Office Teeth Whitening with Instant Results
Opalescence™ Boost™ professional teeth whitening is applied by your dentist right in the dental office to give you a white smile fast! No hot or uncomfortable LED teeth whitening lights are necessary because it is chemically activated. With just two or three 20-minute treatments its powerful 40% hydrogen peroxide formula provides noticeable results in as little as one hour.1
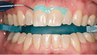
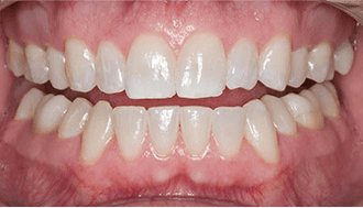
Move the slider to the right to see the before shot, and then to the left to see the brilliant results Opalescence Boost teeth whitening provides!
Opalescence Boost
Teeth Whitening Features:
Opalescence Boost
Teeth Whitening Features:
- Expert application at the dentist’s office by a trained dental professional
- Chemically activated whitening, which means no hot, uncomfortable LED teeth whitening lights are needed
- Teeth whitening gel contains potassium nitrate and fluoride for patient comfort
- It can brighten smiles in as little as one hour1
- A bright white smile as soon as you leave the dentist office
- Vegan—no animal products used
- Certified gluten free
Opalescence Boost Teeth Whitening Step-By-Step Guide
1. An initial shade will be taken of your teeth.
2. A protective barrier will be used to prevent the teeth whitening gel from irritating your gums.
3. Your dentist will apply Opalescence Boost teeth whitening gel with a gentle, brushed tip.
4. You'll see results in about an hour!
Consult with a dental professional for more information.
Other Whitening Options
- Polydorou O, Wirsching M, Wokewitz M, Hahn P. Three-month evaluation of vital tooth bleaching using light units-a randomized clinical study. Oper Dent. 2013;38(1):21–32. doi:10.2341/12-041-C